DDS Ph. D Vadim Klymentiev, Ph.D Prof. Elena Dorosenko, Ph. D Maxim Pavlenko, Kiev
Часткова і повна втрата зубів є однією з найбільш поширених патологій зубощелепної системи, особливо у літніх людей. Сучасний загальноприйнятий метод заміщення дефектів зубного ряду з використанням традиційних методів протезування, таких як створення часткових і повних знімних зубних протезів, не завжди задовільний для пацієнтів.
З цієї точки зору вигідно виготовляти ортопедичні конструкції, які спираються на зубні імплантати.
Дуже часто втрата зубів супроводжується атрофією альвеолярних відростків і складними анатомічними і топографічними умовами, що робить установку зубних імплантатів досить складною проблемою.
В останніх публікаціях наводяться дані про успішне функціонування негайно завантажених і функціонують імплантатів у пацієнтів з беззубими щелепами. Безпосередня імплантація має на увазі об'єднання двох хірургічних етапів в один — видалення зубів і введення імплантату, які проводяться одночасно і таким чином, запобігають альвеолярную резорбцію.
Негайна імплантація компенсує негативний психологічний ефект через видалення зубів у пацієнта, особливо якщо це останні зуби в зубному протезі. Крім того, пацієнт може почати використовувати зубні протези відразу, замість тривалого періоду між видаленням і установкою традиційних імплантатів. Це також зменшує кількість відвідувань і вартість лікування.
На даний момент не існує одностайної думки або сертифікованого клінічного протоколу, який би визначав довжину або діаметр імплантату для заміни зуба.
Досить часто атрофія альвеолярного відростка викликає проблеми при вставці імплантатів через тонкого альвеолярного гребеня або близько розташованих анатомічних структур, тобто нижнього альвеолярного нерва. Порушення функцій нерва може статися при прямій перфорації каналу і травмі при формуванні області, несучої імплантат, а також внаслідок здавлювання нерва за допомогою післяопераційного набряку або зубного імплантату. Ці ускладнення призводять до втрати або довготривалого зміни чутливості в ділянці іннервації, больового синдрому різної інтенсивності поряд з емоційними стресовими розладами і значним погіршенням якості життя пацієнта.
Тільки детальне планування операції поряд з комп'ютерною томографією і підготовкою хірургічного шаблону може гарантувати, що під час операції не виникне ніяких ускладнень в разі введення дентальних імплантатів в бічну область в обхід нижньощелепного нерва, в той час як детальне планування ортопедичного кроку забезпечить надійне функціонування ортопедичної конструкції.
Високий відсоток ускладнень при дентальної імплантації в нижній щелепі зі складними анатомічними і топографічними умовами, націлених на постійне виготовлення ортопедичних конструкцій, вказує на брак знань з даного питання і результати досліджень не мають загальної оцінки.
Таким чином, метою нашого дослідження є реабілітація пацієнтки зі складними анатомо-топографічними станами в беззубою нижньої щелепи за допомогою запропонованого алгоритму хірургічної дентальної імплантації з негайною оклюзійної навантаженням, що дозволяє з високою точністю підготувати імплантати до введення, виготовлення точна протезна конструкція з високою адгезією опорної області до супраструктур імплантат і скоротити виробництво процедури тимчасового протеза конструкції зубного протеза на один день.
Хвора С., 1960 р.н., звернулася в поліклініку зі скаргами на відсутність зубів на нижній щелепі з метою активізації постійної ортопедичної конструкції, що спирається на імплантати. В анамнезі хворий описано тривале використання знімного часткового протеза.
Протилежна щелепу має постійні металокерамічні мостові протези, підтримувані зубами 16, 14, 13, 12, 11, 21, 22, 23, 24 і 27.
Щоб визначити можливість виготовлення постійної ортопедичної конструкції, що спирається на дентальні імплантати, була проведена комп'ютерна томографія (мал.1).

Мал. 1. Комп'ютерна томографія бічній ділянці нижньої щелепи до лікування
Дослідження показало, що у пацієнта є кісткова тканина типу I відповідно до класифікації Lekholm і Zarb.
Бічні ділянки, де були вставлені імплантати, альвеолярного гребеня мали ширину 10,63 мм і висоту 12,60 мм. Відстань між кортикальної платівкою і нижньощелепним каналом склало всього 4,84 мм.
Було вирішено виготовити постійну ортопедичну конструкцію, підтримувану 8 імплантатами.
У цьому медичному випадку введення імплантатів в бічну область в обхід нижньощелепного каналу було можливо тільки після проведення комп'ютерної томографії з метою точного визначення розташування каналу і подальшої підготовки шаблону хірургічної навігації.
Операція по дентальної імплантації планувалася практично в програмі DDS-Pro з використанням результатів комп'ютерної томографії, сканування моделей і воскового моделювання. У дистальній ділянці нижньої щелепи були встановлені однокрокові імплантати з гвинтовою фіксацією і фіксацією кори, а для передньої області — пряма імплантація кореневих імплантатів з внутрішньокістковий частиною з гвинтовою фіксацією відповідно до стандартної процедури. Довжина всіх внутрішньокісткових частин імплантатів складає 10 мм, ширина — 3,0 мм.
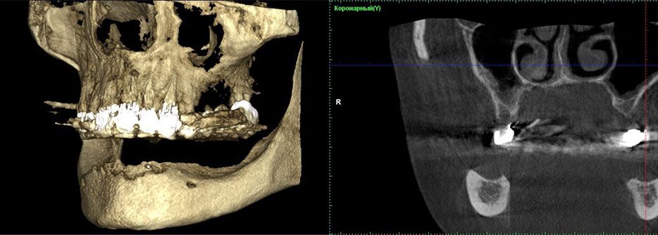
Після установки імплантатів була проведена комп'ютерна томографія, щоб забезпечити правильне розміщення імплантатів (мал.2 і мал.3).

Мал. 2. Комп'ютерна томографія після введення імплантату (A — права сторона, B — ліва сторона)

Мал. 3. Комп'ютерна томографія після введення імплантату (A — центральна область, B — права сторона)
Ефективність лікування вимірювалася за клінічними і рентгенологічними критеріями (Albrektsson і ін.).
В післяопераційному періоді ускладнень не виявлено, стан слизової оболонки слизової було задовільним. Пацієнт не висловлював ніяких скарг.
Пацієнт був клінічно перевірений на нерухомість імплантату, відсутність негативних ефектів на перкусію, відсутність больового синдрому навколо імплантатів і відсутність парестезії.

Мал. 4. Клінічна картина порожнини рота на другий день після імплантації.

Мал. 4.1. Негайне протезування фіксованими металопластиковими конструкціями на третій день після операції.
Проведений хірургічний етап дентальної імплантації на увазі негайну функціональне навантаження за допомогою тимчасового фіксованого комбінованого протеза з пластиковим покриттям, яке пацієнт зміг використовувати на третій день після проведеної операції.
Виготовлення тимчасового комбінованого протеза було виконано відповідно до запропонованого нами відповідним для пацієнта високоякісним і точним методом оклюзійної адаптації супраструктур імплантату, що дозволило значно скоротити процедуру виготовлення тимчасової протезної конструкції. Для пом'якшення розбіжності і конвергенції супраструктур імплантату в області протеза і кожен із ближнім використовувалися адаптивні параллелометріческіе ключі.
При виконанні ортопедичного кроку ми отримували робочі відбитки за допомогою пластикових трансферів, в які були встановлені аналоги імплантатів, з подальшим формуванням майстер-лиття.

Мал. 5. Установка пластикових переносників в порожнину рота

Мал. 6. Заготівля відбитка, переміщення перекладів в відбиток
Після відливання майстер-форми ми провели параллелометра з аналогами імплантатів, закріпили лабораторні ковпачки, які служили адаптивними параллелометріческімі ключами, на аналогах імплантатів, розсікли ковпачки відповідно до методу складання та з'єднали їх із зубною смолою. Потім була виготовлена тимчасова ортопедична конструкція з адаптивними ключами для установки на імплантати.

Мал. 7. Формування майстер-лиття за допомогою аналогів імплантату.

Мал. 8. Фіксація лабораторних ковпачків на супраструктур аналогів імплантатів, з'єднання їх із зубною смолою, розшарування ковпачків відповідно до методу складання конструкції
Далі ми зробили розтин надбудови імплантату, яка є неподільною частиною самого імплантату, в порожнині відповідно до ключами і методом установки протезної конструкції.

Мал.9 Розсічення супраструктури імплантату по параллелометріческім ключам
Розсічення супраструктури імплантату відповідно до ключами дозволило зменшити сходження і розбіжність супраструктури імплантату і створити 100% відповідність протезної конструкції.
Достатня кількість імплантатів значної довжини, практичне відповідність осей протеза і імплантатів виключає такі ризики, як зниження надійності утримання протеза, переломи імплантату і неадекватна функціональне навантаження на імплантат.
Використовуючи рентгенологію під час моніторингу пацієнта, було визначено, що область резорбції кісткової тканини відсутня навколо внутрішньокісткової частини імплантата і що втрата кісткової тканини протягом періоду функціонування імплантату залишається мінімальной.протезной конструкції.

Мал. 10. Рентгенологія до і у фіксований термін після дентальної імплантації.
Аналогічні дані були отримані в комп'ютерній томографії через 6 місяців (мал.11).

Мал. 11. Комп'ютерна томографія через 6 місяців після введення імплантату (A — центральна область, B — права бічна область, C — ліва бічна область альвеолярного відростка)
Після 6 місяців використання тимчасової конструкції пацієнт не пред'являв ніяких скарг, тому тимчасову конструкцію замінили перманентом, який був зафіксований в порожнині рота. (Мал.12) Матеріал для постійного протеза — це високоефективний полімер (Bio HPP) через його біосумісності, подібності з механічними властивостями кісткового скелета, значною зносостійкості, оптимальної полірування і низькою схильності утворенню зубного каменю.

Мал. 11. Комп'ютерна томографія через 6 місяців після введення імплантату (A — центральна область, B — права бічна область, C — ліва бічна область альвеолярного відростка)

Мал. 12. Закріплення постійної ортопедичної конструкції в порожнині рота
Таким чином, детальне планування операції поряд з комп'ютерною томографією не гарантувало ніяких ускладнень при дентальної імплантації, а детальне планування ортопедичної операції практично виключало такі ризики, як зниження надійності утримання протеза, переломи імплантату і неадекватну функціональне навантаження на імплантат.
Такий метод з низьким рівнем інвазії може бути використаний для пацієнтів, які хочуть зменшити кількість операцій і відвідувань стоматологів, а також тривалість лікування з можливістю використання фіксованої ортопедичної конструкції відразу після установки дентальних імплантатов.отростка)
ПОСИЛАННЯ:
Часткова і повна втрата зубів є однією з найбільш поширених патологій зубощелепної системи, особливо у літніх людей. Сучасний загальноприйнятий метод заміщення дефектів зубного ряду з використанням традиційних методів протезування, таких як створення часткових і повних знімних зубних протезів, не завжди задовільний для пацієнтів.
З цієї точки зору вигідно виготовляти ортопедичні конструкції, які спираються на зубні імплантати.
Дуже часто втрата зубів супроводжується атрофією альвеолярних відростків і складними анатомічними і топографічними умовами, що робить установку зубних імплантатів досить складною проблемою.
В останніх публікаціях наводяться дані про успішне функціонування негайно завантажених і функціонують імплантатів у пацієнтів з беззубими щелепами. Безпосередня імплантація має на увазі об'єднання двох хірургічних етапів в один — видалення зубів і введення імплантату, які проводяться одночасно і таким чином, запобігають альвеолярную резорбцію.
Негайна імплантація компенсує негативний психологічний ефект через видалення зубів у пацієнта, особливо якщо це останні зуби в зубному протезі. Крім того, пацієнт може почати використовувати зубні протези відразу, замість тривалого періоду між видаленням і установкою традиційних імплантатів. Це також зменшує кількість відвідувань і вартість лікування.
На даний момент не існує одностайної думки або сертифікованого клінічного протоколу, який би визначав довжину або діаметр імплантату для заміни зуба.
Досить часто атрофія альвеолярного відростка викликає проблеми при вставці імплантатів через тонкого альвеолярного гребеня або близько розташованих анатомічних структур, тобто нижнього альвеолярного нерва. Порушення функцій нерва може статися при прямій перфорації каналу і травмі при формуванні області, несучої імплантат, а також внаслідок здавлювання нерва за допомогою післяопераційного набряку або зубного імплантату. Ці ускладнення призводять до втрати або довготривалого зміни чутливості в ділянці іннервації, больового синдрому різної інтенсивності поряд з емоційними стресовими розладами і значним погіршенням якості життя пацієнта.
Тільки детальне планування операції поряд з комп'ютерною томографією і підготовкою хірургічного шаблону може гарантувати, що під час операції не виникне ніяких ускладнень в разі введення дентальних імплантатів в бічну область в обхід нижньощелепного нерва, в той час як детальне планування ортопедичного кроку забезпечить надійне функціонування ортопедичної конструкції.
Високий відсоток ускладнень при дентальної імплантації в нижній щелепі зі складними анатомічними і топографічними умовами, націлених на постійне виготовлення ортопедичних конструкцій, вказує на брак знань з даного питання і результати досліджень не мають загальної оцінки.
Таким чином, метою нашого дослідження є реабілітація пацієнтки зі складними анатомо-топографічними станами в беззубою нижньої щелепи за допомогою запропонованого алгоритму хірургічної дентальної імплантації з негайною оклюзійної навантаженням, що дозволяє з високою точністю підготувати імплантати до введення, виготовлення точна протезна конструкція з високою адгезією опорної області до супраструктур імплантат і скоротити виробництво процедури тимчасового протеза конструкції зубного протеза на один день.
Хвора С., 1960 р.н., звернулася в поліклініку зі скаргами на відсутність зубів на нижній щелепі з метою активізації постійної ортопедичної конструкції, що спирається на імплантати. В анамнезі хворий описано тривале використання знімного часткового протеза.
Протилежна щелепу має постійні металокерамічні мостові протези, підтримувані зубами 16, 14, 13, 12, 11, 21, 22, 23, 24 і 27.
Щоб визначити можливість виготовлення постійної ортопедичної конструкції, що спирається на дентальні імплантати, була проведена комп'ютерна томографія (мал.1).

Мал. 1. Комп'ютерна томографія бічній ділянці нижньої щелепи до лікування
Дослідження показало, що у пацієнта є кісткова тканина типу I відповідно до класифікації Lekholm і Zarb.
Бічні ділянки, де були вставлені імплантати, альвеолярного гребеня мали ширину 10,63 мм і висоту 12,60 мм. Відстань між кортикальної платівкою і нижньощелепним каналом склало всього 4,84 мм.
Було вирішено виготовити постійну ортопедичну конструкцію, підтримувану 8 імплантатами.
У цьому медичному випадку введення імплантатів в бічну область в обхід нижньощелепного каналу було можливо тільки після проведення комп'ютерної томографії з метою точного визначення розташування каналу і подальшої підготовки шаблону хірургічної навігації.
Операція по дентальної імплантації планувалася практично в програмі DDS-Pro з використанням результатів комп'ютерної томографії, сканування моделей і воскового моделювання. У дистальній ділянці нижньої щелепи були встановлені однокрокові імплантати з гвинтовою фіксацією і фіксацією кори, а для передньої області — пряма імплантація кореневих імплантатів з внутрішньокістковий частиною з гвинтовою фіксацією відповідно до стандартної процедури. Довжина всіх внутрішньокісткових частин імплантатів складає 10 мм, ширина — 3,0 мм.
Після установки імплантатів була проведена комп'ютерна томографія, щоб забезпечити правильне розміщення імплантатів (мал.2 і мал.3).

Мал. 2. Комп'ютерна томографія після введення імплантату (A — права сторона, B — ліва сторона)

Мал. 3. Комп'ютерна томографія після введення імплантату (A — центральна область, B — права сторона)
Ефективність лікування вимірювалася за клінічними і рентгенологічними критеріями (Albrektsson і ін.).
В післяопераційному періоді ускладнень не виявлено, стан слизової оболонки слизової було задовільним. Пацієнт не висловлював ніяких скарг.
Пацієнт був клінічно перевірений на нерухомість імплантату, відсутність негативних ефектів на перкусію, відсутність больового синдрому навколо імплантатів і відсутність парестезії.

Мал. 4. Клінічна картина порожнини рота на другий день після імплантації.

Мал. 4.1. Негайне протезування фіксованими металопластиковими конструкціями на третій день після операції.
Проведений хірургічний етап дентальної імплантації на увазі негайну функціональне навантаження за допомогою тимчасового фіксованого комбінованого протеза з пластиковим покриттям, яке пацієнт зміг використовувати на третій день після проведеної операції.
Виготовлення тимчасового комбінованого протеза було виконано відповідно до запропонованого нами відповідним для пацієнта високоякісним і точним методом оклюзійної адаптації супраструктур імплантату, що дозволило значно скоротити процедуру виготовлення тимчасової протезної конструкції. Для пом'якшення розбіжності і конвергенції супраструктур імплантату в області протеза і кожен із ближнім використовувалися адаптивні параллелометріческіе ключі.
При виконанні ортопедичного кроку ми отримували робочі відбитки за допомогою пластикових трансферів, в які були встановлені аналоги імплантатів, з подальшим формуванням майстер-лиття.

Мал. 5. Установка пластикових переносників в порожнину рота

Мал. 6. Заготівля відбитка, переміщення перекладів в відбиток
Після відливання майстер-форми ми провели параллелометра з аналогами імплантатів, закріпили лабораторні ковпачки, які служили адаптивними параллелометріческімі ключами, на аналогах імплантатів, розсікли ковпачки відповідно до методу складання та з'єднали їх із зубною смолою. Потім була виготовлена тимчасова ортопедична конструкція з адаптивними ключами для установки на імплантати.

Мал. 7. Формування майстер-лиття за допомогою аналогів імплантату.

Мал. 8. Фіксація лабораторних ковпачків на супраструктур аналогів імплантатів, з'єднання їх із зубною смолою, розшарування ковпачків відповідно до методу складання конструкції
Далі ми зробили розтин надбудови імплантату, яка є неподільною частиною самого імплантату, в порожнині відповідно до ключами і методом установки протезної конструкції.

Мал.9 Розсічення супраструктури імплантату по параллелометріческім ключам
Розсічення супраструктури імплантату відповідно до ключами дозволило зменшити сходження і розбіжність супраструктури імплантату і створити 100% відповідність протезної конструкції.
Достатня кількість імплантатів значної довжини, практичне відповідність осей протеза і імплантатів виключає такі ризики, як зниження надійності утримання протеза, переломи імплантату і неадекватна функціональне навантаження на імплантат.
Використовуючи рентгенологію під час моніторингу пацієнта, було визначено, що область резорбції кісткової тканини відсутня навколо внутрішньокісткової частини імплантата і що втрата кісткової тканини протягом періоду функціонування імплантату залишається мінімальной.протезной конструкції.

Мал. 10. Рентгенологія до і у фіксований термін після дентальної імплантації.
Аналогічні дані були отримані в комп'ютерній томографії через 6 місяців (мал.11).

Мал. 11. Комп'ютерна томографія через 6 місяців після введення імплантату (A — центральна область, B — права бічна область, C — ліва бічна область альвеолярного відростка)
Після 6 місяців використання тимчасової конструкції пацієнт не пред'являв ніяких скарг, тому тимчасову конструкцію замінили перманентом, який був зафіксований в порожнині рота. (Мал.12) Матеріал для постійного протеза — це високоефективний полімер (Bio HPP) через його біосумісності, подібності з механічними властивостями кісткового скелета, значною зносостійкості, оптимальної полірування і низькою схильності утворенню зубного каменю.

Мал. 11. Комп'ютерна томографія через 6 місяців після введення імплантату (A — центральна область, B — права бічна область, C — ліва бічна область альвеолярного відростка)

Мал. 12. Закріплення постійної ортопедичної конструкції в порожнині рота
Таким чином, детальне планування операції поряд з комп'ютерною томографією не гарантувало ніяких ускладнень при дентальної імплантації, а детальне планування ортопедичної операції практично виключало такі ризики, як зниження надійності утримання протеза, переломи імплантату і неадекватну функціональне навантаження на імплантат.
Такий метод з низьким рівнем інвазії може бути використаний для пацієнтів, які хочуть зменшити кількість операцій і відвідувань стоматологів, а також тривалість лікування з можливістю використання фіксованої ортопедичної конструкції відразу після установки дентальних імплантатов.отростка)
ПОСИЛАННЯ:
- Маланчук В. А. Негайна імплантація зубів / В. А. Маланчук, Е. А. Мамедов // Наукова і академічна публікація для студентів і лікарів. — Київ, 2008. — 154 с.
- Грачова О. В. Диференціальний підхід в лікуванні ускладнень при дентальної імплантації внаслідок порушення функції альвеолярного нерва / О. В. Грачова, О. М. Панін, О. Н. Московець // Клінічна стоматологія — Москва, 2009. — № 4 (52 ). — С.24 — 26
- Френк Ренуар. Фактори ризику в дентальної імплантології / Ренуар Франк, Рангерт Бо // Москва — 2004, 182 с.
- Альбрекссон, Т. Новий підхід до демонстрації клітинної активності при формуванні кісток, прилеглих до імплантатів / Т. Альбрекссон // J. Biomed. Mater. Місце проживання — 2000. — № 51. — С. 280 — 291.
- Хегедус Ф. Травми трійчастого нерва після установки нижньощелепного імплантату — практичні знання для клініцистів / Ф. Хегедус, Р. Дідідю // Int. J. Оральні щелепні імплантати. — 2006. — № 21 (1). — С. 111 — 116.
- Дорошенко О. М. Клінічна оцінка ефективності заміщення дефектів в зубному ряду ортопедичними конструкціями, котрі спиралися б на імплантати, в залежності від терміну відновлення оклюзійної навантаження / О. М. Дорошенко, О. Ф. Сіренко, М. В. Дорошенко, М. О. Павленко // Сучасна стоматологія. № 3 (77). — С. 98 — 101.
- Дорошенко О. М. Клінічна оцінка ефективності заміни дефектів в зубному ряду ортопедичними конструкціями, котрі спиралися б на імплантати з індивідуальним абатментом / О. М. Дорошенко, О. Ф. Сіренко, М. В. Дорошенко // Збірник наукових праць Національної медичної академії післядипломної освіти ім. — Випуск 23. Книга 1. — 2014. С. 346 — 356.
0(800)60-33-68