DDS Ph. D Vadim Klymentiev, Ph.D Prof. Elena Dorosenko, Ph. D Maxim Pavlenko, Kiev
Частичная и полная потеря зубов является одной из наиболее распространенных патологий зубочелюстной системы, особенно у пожилых людей. Современный общепринятый метод замещения дефектов зубного ряда с использованием традиционных методов протезирования, таких как создание частичных и полных съемных зубных протезов, не всегда удовлетворителен для пациентов.
С этой точки зрения выгодно изготавливать ортопедические конструкции, опирающиеся на зубные имплантаты.
Очень часто потеря зубов сопровождается атрофией альвеолярных отростков и сложными анатомическими и топографическими условиями, что делает установку зубных имплантатов довольно сложной проблемой.
В последних публикациях приводятся данные об успешном функционировании немедленно загруженных и функционирующих имплантатов у пациентов с беззубыми челюстями. Непосредственная имплантация подразумевает объединение двух хирургических этапов в один — удаление зубов и введение имплантата, которые проводятся одновременно и таким образом, предотвращают альвеолярную резорбцию.
Немедленная имплантация компенсирует отрицательный психологический эффект из-за удаления зубов у пациента, особенно если это последние зубы в зубном протезе. Кроме того, пациент может начать использовать зубные протезы сразу, вместо продолжительного периода между удалением и установкой традиционных имплантатов. Это также уменьшает количество посещений и стоимость лечения.
На данный момент не существует единодушного мнения или сертифицированного клинического протокола, который бы определял длину или диаметр имплантата для замены зуба.
Довольно часто атрофия альвеолярного отростка вызывает проблемы при вставке имплантатов из-за тонкого альвеолярного гребня или близко расположенных анатомических структур, то есть нижнего альвеолярного нерва. Нарушение функций нерва может произойти при прямой перфорации канала и травме при формировании области, несущей имплантат, а также вследствие сдавливания нерва с помощью послеоперационного отека или зубного имплантата. Эти осложнения приводят к потере или долговременному изменению чувствительности в области иннервации, болевому синдрому различной интенсивности наряду с эмоциональными стрессовыми расстройствами и значительным ухудшением качества жизни пациента.
Только детальное планирование операции наряду с компьютерной томографией и подготовкой хирургического шаблона может гарантировать, что во время операции не возникнет никаких осложнений в случае введения дентальных имплантатов в боковую область в обход нижнечелюстного нерва, в то время как детальное планирование ортопедического шага обеспечит надежное функционирование ортопедической конструкции.
Высокий процент осложнений при дентальной имплантации в нижней челюсти со сложными анатомическими и топографическими условиями, нацеленных на постоянное изготовление ортопедических конструкций, указывает на недостаток знаний по данному вопросу и результаты исследований не имеют общей оценки.
Таким образом, целью нашего исследования является реабилитация пациентки со сложными анатомо-топографическими состояниями в беззубой нижней челюсти с помощью предложенного алгоритма хирургической дентальной имплантации с немедленной окклюзионной нагрузкой, что позволяет с высокой точностью подготовить имплантаты до введения, изготовления точная протезная конструкция с высокой адгезией опорной области к супраструктуре имплантат и сократить производство процедуры временного протеза конструкции зубного протеза на один день.
Больная С., 1960 г.р., обратилась в поликлинику с жалобами на отсутствие зубов на нижней челюсти с целью установки постоянной ортопедической конструкции, опирающейся на имплантаты. В анамнезе больной описано длительное использование съемного частичного протеза.
Противоположная челюсть имеет постоянные металлокерамические мостовые протезы, поддерживаемые зубьями 16, 14, 13, 12, 11, 21, 22, 23, 24 и 27.
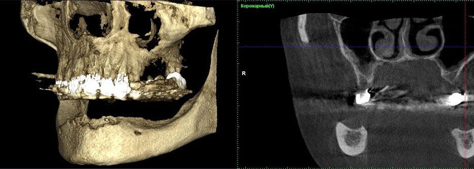
Чтобы определить возможность изготовления постоянной ортопедической конструкции, опирающейся на дентальные имплантаты, была проведена компьютерная томография (рис.1).

Рис. 1. Компьютерная томография боковой области нижней челюсти до лечения
Исследование показало, что у пациента есть костная ткань типа I согласно классификации Lekholm и Zarb.
Боковые участки, где были вставлены имплантаты, альвеолярного гребня имели ширину 10,63 мм и высоту 12,60 мм. Расстояние между кортикальной пластинкой и нижнечелюстным каналом составило всего 4,84 мм.
Было решено изготовить постоянную ортопедическую конструкцию, поддерживаемую 8 имплантатами.
В этом медицинском случае введение имплантатов в боковую область в обход нижнечелюстного канала было возможно только после проведения компьютерной томографии с целью точного определения расположения канала и последующей подготовки шаблона хирургической навигации.
Операция по дентальной имплантации планировалась практически в программе DDS-Pro с использованием результатов компьютерной томографии, сканирования моделей и воскового моделирования. В дистальной области нижней челюсти были установлены одношаговые имплантаты с винтовой фиксацией и фиксацией коры, а для передней области — прямая имплантация корневых имплантатов с внутрикостной частью с винтовой фиксацией в соответствии со стандартной процедурой. Длина всех внутрикостных частей имплантатов составляет 10 мм, ширина — 3,0 мм.
После установки имплантатов была проведена компьютерная томография, чтобы обеспечить правильное размещение имплантатов (Рис.2 и Рис.3).

Рис. 2. Компьютерная томография после введения имплантата (A — правая сторона, B — левая сторона)

Рис. 3. Компьютерная томография после введения имплантата (A — центральная область, B — правая сторона)
Эффективность лечения измерялась по клиническим и рентгенологическим критериям (Albrektsson и др.).
В послеоперационном периоде осложнений не выявлено, состояние слизистой оболочки слизистой было удовлетворительным. Пациент не высказывал никаких жалоб.
Пациент был клинически проверен на неподвижность имплантата, отсутствие отрицательных эффектов на перкуссию, отсутствие болевого синдрома вокруг имплантатов и отсутствие парестезии.

Рис. 4. Клиническая картина полости рта на второй день после имплантации.

Рис. 4.1. Немедленное протезирование фиксированными металлопластиковыми конструкциями на третий день после операции.
Проведенный хирургический этап дентальной имплантации подразумевал немедленную функциональную нагрузку с помощью временного фиксированного комбинированного протеза с пластиковым покрытием, которое пациент смог использовать на третий день после проведенной операции.
Изготовление временного комбинированного протеза было выполнено в соответствии с предложенным нами подходящим для пациента высококачественным и точным методом окклюзионной адаптации супраструктур имплантата, что позволило значительно сократить процедуру изготовления временной протезной конструкции. Для смягчения расхождения и конвергенции супраструктур имплантата в области протеза и друг против друга использовались адаптивные параллелометрические ключи.
При выполнении ортопедического шага мы получали рабочие оттиски с помощью пластиковых трансферов, в которые были установлены аналоги имплантатов, с последующим формованием мастер-литья.

Рис. 5. Установка пластиковых переносчиков в полость рта

Рис. 6. Заготовка оттиска, перемещение переводов в оттиск
После отливки мастер-формы мы провели параллелометрию с аналогами имплантатов, закрепили лабораторные колпачки, которые служили адаптивными параллелометрическими ключами, на аналогах имплантатов, рассекли колпачки в соответствии с методом сборки и соединили их с зубной смолой. Затем была изготовлена временная ортопедическая конструкция с адаптивными ключами для установки на имплантаты.

Рис. 7. Формование мастер-литья с помощью аналогов имплантата.

Рис. 8. Фиксация лабораторных колпачков на супраструктурах аналогов имплантатов, соединение их с зубной смолой, расслаивание колпачков в соответствии с методом сборки конструкции
Далее мы произвели рассечение надстройки имплантата, которая является неделимой частью самого имплантата, в полости в соответствии с ключами и методом установки протезной конструкции.

Рис. 9. Рассечение супраструктуры имплантата по параллелометрическим ключам
Рассечение супраструктуры имплантата в соответствии с ключами позволило уменьшить схождение и расхождение супраструктуры имплантата и создать 100% соответствие протезной конструкции.
Достаточное количество имплантатов значительной длины, практическое соответствие осей протеза и имплантатов исключает такие риски, как снижение надежности удержания протеза, переломы имплантата и неадекватная функциональная нагрузка на имплантат.
Используя рентгенологию во время мониторинга пациента, было определено, что область резорбции костной ткани отсутствует вокруг внутрикостной части имплантата и что потеря костной ткани в течение периода функционирования имплантата остается минимальной.

Рис. 10. Рентгенология до и в фиксированные сроки после дентальной имплантации.
Аналогичные данные были получены в компьютерной томографии через 6 месяцев (рис.11).

Рис. 11. Компьютерная томография через 6 месяцев после введения имплантата (A — центральная область, B — правая боковая область, C — левая боковая область альвеолярного отростка)
После 6 месяцев использования временной конструкции пациент не предъявлял никаких жалоб, поэтому временную конструкцию заменили перманентом, который был зафиксирован в полости рта. (Рис.12) Материал для постоянного протеза — это высокоэффективный полимер (Bio HPP) из-за его биосовместимости, сходства с механическими свойствами костного скелета, значительной износостойкости, оптимальной полировки и низкой подверженности образованию зубного камня.

Рис. 11. Компьютерная томография через 6 месяцев после введения имплантата (A — центральная область, B — правая боковая область, C — левая боковая область альвеолярного отростка)

Рис. 12. Закрепление постоянной ортопедической конструкции в полости рта
Таким образом, детальное планирование операции наряду с компьютерной томографией не гарантировало никаких осложнений при дентальной имплантации, а детальное планирование ортопедической операции практически исключало такие риски, как снижение надежности удержания протеза, переломы имплантата и неадекватную функциональную нагрузку на имплантат.
Такой метод с низким уровнем инвазии может быть использован для пациентов, которые хотят уменьшить количество операций и посещений стоматологов, а также продолжительность лечения с возможностью использования фиксированной ортопедической конструкции сразу после установки дентальных имплантатов.
ССЫЛКИ:
Частичная и полная потеря зубов является одной из наиболее распространенных патологий зубочелюстной системы, особенно у пожилых людей. Современный общепринятый метод замещения дефектов зубного ряда с использованием традиционных методов протезирования, таких как создание частичных и полных съемных зубных протезов, не всегда удовлетворителен для пациентов.
С этой точки зрения выгодно изготавливать ортопедические конструкции, опирающиеся на зубные имплантаты.
Очень часто потеря зубов сопровождается атрофией альвеолярных отростков и сложными анатомическими и топографическими условиями, что делает установку зубных имплантатов довольно сложной проблемой.
В последних публикациях приводятся данные об успешном функционировании немедленно загруженных и функционирующих имплантатов у пациентов с беззубыми челюстями. Непосредственная имплантация подразумевает объединение двух хирургических этапов в один — удаление зубов и введение имплантата, которые проводятся одновременно и таким образом, предотвращают альвеолярную резорбцию.
Немедленная имплантация компенсирует отрицательный психологический эффект из-за удаления зубов у пациента, особенно если это последние зубы в зубном протезе. Кроме того, пациент может начать использовать зубные протезы сразу, вместо продолжительного периода между удалением и установкой традиционных имплантатов. Это также уменьшает количество посещений и стоимость лечения.
На данный момент не существует единодушного мнения или сертифицированного клинического протокола, который бы определял длину или диаметр имплантата для замены зуба.
Довольно часто атрофия альвеолярного отростка вызывает проблемы при вставке имплантатов из-за тонкого альвеолярного гребня или близко расположенных анатомических структур, то есть нижнего альвеолярного нерва. Нарушение функций нерва может произойти при прямой перфорации канала и травме при формировании области, несущей имплантат, а также вследствие сдавливания нерва с помощью послеоперационного отека или зубного имплантата. Эти осложнения приводят к потере или долговременному изменению чувствительности в области иннервации, болевому синдрому различной интенсивности наряду с эмоциональными стрессовыми расстройствами и значительным ухудшением качества жизни пациента.
Только детальное планирование операции наряду с компьютерной томографией и подготовкой хирургического шаблона может гарантировать, что во время операции не возникнет никаких осложнений в случае введения дентальных имплантатов в боковую область в обход нижнечелюстного нерва, в то время как детальное планирование ортопедического шага обеспечит надежное функционирование ортопедической конструкции.
Высокий процент осложнений при дентальной имплантации в нижней челюсти со сложными анатомическими и топографическими условиями, нацеленных на постоянное изготовление ортопедических конструкций, указывает на недостаток знаний по данному вопросу и результаты исследований не имеют общей оценки.
Таким образом, целью нашего исследования является реабилитация пациентки со сложными анатомо-топографическими состояниями в беззубой нижней челюсти с помощью предложенного алгоритма хирургической дентальной имплантации с немедленной окклюзионной нагрузкой, что позволяет с высокой точностью подготовить имплантаты до введения, изготовления точная протезная конструкция с высокой адгезией опорной области к супраструктуре имплантат и сократить производство процедуры временного протеза конструкции зубного протеза на один день.
Больная С., 1960 г.р., обратилась в поликлинику с жалобами на отсутствие зубов на нижней челюсти с целью установки постоянной ортопедической конструкции, опирающейся на имплантаты. В анамнезе больной описано длительное использование съемного частичного протеза.
Противоположная челюсть имеет постоянные металлокерамические мостовые протезы, поддерживаемые зубьями 16, 14, 13, 12, 11, 21, 22, 23, 24 и 27.
Чтобы определить возможность изготовления постоянной ортопедической конструкции, опирающейся на дентальные имплантаты, была проведена компьютерная томография (рис.1).

Рис. 1. Компьютерная томография боковой области нижней челюсти до лечения
Исследование показало, что у пациента есть костная ткань типа I согласно классификации Lekholm и Zarb.
Боковые участки, где были вставлены имплантаты, альвеолярного гребня имели ширину 10,63 мм и высоту 12,60 мм. Расстояние между кортикальной пластинкой и нижнечелюстным каналом составило всего 4,84 мм.
Было решено изготовить постоянную ортопедическую конструкцию, поддерживаемую 8 имплантатами.
В этом медицинском случае введение имплантатов в боковую область в обход нижнечелюстного канала было возможно только после проведения компьютерной томографии с целью точного определения расположения канала и последующей подготовки шаблона хирургической навигации.
Операция по дентальной имплантации планировалась практически в программе DDS-Pro с использованием результатов компьютерной томографии, сканирования моделей и воскового моделирования. В дистальной области нижней челюсти были установлены одношаговые имплантаты с винтовой фиксацией и фиксацией коры, а для передней области — прямая имплантация корневых имплантатов с внутрикостной частью с винтовой фиксацией в соответствии со стандартной процедурой. Длина всех внутрикостных частей имплантатов составляет 10 мм, ширина — 3,0 мм.
После установки имплантатов была проведена компьютерная томография, чтобы обеспечить правильное размещение имплантатов (Рис.2 и Рис.3).

Рис. 2. Компьютерная томография после введения имплантата (A — правая сторона, B — левая сторона)

Рис. 3. Компьютерная томография после введения имплантата (A — центральная область, B — правая сторона)
Эффективность лечения измерялась по клиническим и рентгенологическим критериям (Albrektsson и др.).
В послеоперационном периоде осложнений не выявлено, состояние слизистой оболочки слизистой было удовлетворительным. Пациент не высказывал никаких жалоб.
Пациент был клинически проверен на неподвижность имплантата, отсутствие отрицательных эффектов на перкуссию, отсутствие болевого синдрома вокруг имплантатов и отсутствие парестезии.

Рис. 4. Клиническая картина полости рта на второй день после имплантации.

Рис. 4.1. Немедленное протезирование фиксированными металлопластиковыми конструкциями на третий день после операции.
Проведенный хирургический этап дентальной имплантации подразумевал немедленную функциональную нагрузку с помощью временного фиксированного комбинированного протеза с пластиковым покрытием, которое пациент смог использовать на третий день после проведенной операции.
Изготовление временного комбинированного протеза было выполнено в соответствии с предложенным нами подходящим для пациента высококачественным и точным методом окклюзионной адаптации супраструктур имплантата, что позволило значительно сократить процедуру изготовления временной протезной конструкции. Для смягчения расхождения и конвергенции супраструктур имплантата в области протеза и друг против друга использовались адаптивные параллелометрические ключи.
При выполнении ортопедического шага мы получали рабочие оттиски с помощью пластиковых трансферов, в которые были установлены аналоги имплантатов, с последующим формованием мастер-литья.

Рис. 5. Установка пластиковых переносчиков в полость рта

Рис. 6. Заготовка оттиска, перемещение переводов в оттиск
После отливки мастер-формы мы провели параллелометрию с аналогами имплантатов, закрепили лабораторные колпачки, которые служили адаптивными параллелометрическими ключами, на аналогах имплантатов, рассекли колпачки в соответствии с методом сборки и соединили их с зубной смолой. Затем была изготовлена временная ортопедическая конструкция с адаптивными ключами для установки на имплантаты.

Рис. 7. Формование мастер-литья с помощью аналогов имплантата.

Рис. 8. Фиксация лабораторных колпачков на супраструктурах аналогов имплантатов, соединение их с зубной смолой, расслаивание колпачков в соответствии с методом сборки конструкции
Далее мы произвели рассечение надстройки имплантата, которая является неделимой частью самого имплантата, в полости в соответствии с ключами и методом установки протезной конструкции.

Рис. 9. Рассечение супраструктуры имплантата по параллелометрическим ключам
Рассечение супраструктуры имплантата в соответствии с ключами позволило уменьшить схождение и расхождение супраструктуры имплантата и создать 100% соответствие протезной конструкции.
Достаточное количество имплантатов значительной длины, практическое соответствие осей протеза и имплантатов исключает такие риски, как снижение надежности удержания протеза, переломы имплантата и неадекватная функциональная нагрузка на имплантат.
Используя рентгенологию во время мониторинга пациента, было определено, что область резорбции костной ткани отсутствует вокруг внутрикостной части имплантата и что потеря костной ткани в течение периода функционирования имплантата остается минимальной.

Рис. 10. Рентгенология до и в фиксированные сроки после дентальной имплантации.
Аналогичные данные были получены в компьютерной томографии через 6 месяцев (рис.11).

Рис. 11. Компьютерная томография через 6 месяцев после введения имплантата (A — центральная область, B — правая боковая область, C — левая боковая область альвеолярного отростка)
После 6 месяцев использования временной конструкции пациент не предъявлял никаких жалоб, поэтому временную конструкцию заменили перманентом, который был зафиксирован в полости рта. (Рис.12) Материал для постоянного протеза — это высокоэффективный полимер (Bio HPP) из-за его биосовместимости, сходства с механическими свойствами костного скелета, значительной износостойкости, оптимальной полировки и низкой подверженности образованию зубного камня.

Рис. 11. Компьютерная томография через 6 месяцев после введения имплантата (A — центральная область, B — правая боковая область, C — левая боковая область альвеолярного отростка)

Рис. 12. Закрепление постоянной ортопедической конструкции в полости рта
Таким образом, детальное планирование операции наряду с компьютерной томографией не гарантировало никаких осложнений при дентальной имплантации, а детальное планирование ортопедической операции практически исключало такие риски, как снижение надежности удержания протеза, переломы имплантата и неадекватную функциональную нагрузку на имплантат.
Такой метод с низким уровнем инвазии может быть использован для пациентов, которые хотят уменьшить количество операций и посещений стоматологов, а также продолжительность лечения с возможностью использования фиксированной ортопедической конструкции сразу после установки дентальных имплантатов.
ССЫЛКИ:
- Маланчук В. А. Немедленная имплантация зубов / В. А. Маланчук, Е. А. Мамедов // Научная и академическая публикация для студентов и врачей. — Киев, 2008. — 154 с.
- Грачева О. В. Дифференциальный подход в лечении осложнений при дентальной имплантации вследствие нарушения функции альвеолярного нерва / О. В. Грачева, О. М. Панин, О. Н. Московец // Клиническая стоматология — Москва, 2009. — № 4 (52). — С.24 — 26
- Фрэнк Ренуар. Факторы риска в дентальной имплантологии / Ренуар Франк, Рангерт Бо // Москва — 2004, 182 с.
- Альбрекссон, Т. Новый подход к демонстрации клеточной активности при формировании костей, прилегающих к имплантатам / Т. Альбрекссон // J. Biomed. Mater. Местожительство — 2000. — № 51. — С. 280 — 291.
- Хегедус Ф. Травмы тройничного нерва после установки нижнечелюстного имплантата — практические знания для клиницистов / Ф. Хегедус, Р. Дидидю // Int. J. Оральные челюстные имплантаты. — 2006. — № 21 (1). — С. 111 — 116.
- Дорошенко О. М. Клиническая оценка эффективности замещения дефектов в зубном ряду ортопедическими конструкциями, опирающимися на имплантаты, в зависимости от срока восстановления окклюзионной нагрузки / О. М. Дорошенко, О. Ф. Сиренко, М. В. Дорошенко, М. О. Павленко // Современная стоматология. № 3 (77). — С. 98 — 101.
- Дорошенко О. М. Клиническая оценка эффективности замены дефектов в зубном ряду ортопедическими конструкциями, опирающимися на имплантаты с индивидуальным абатментом / О. М. Дорошенко, О. Ф. Сиренко, М. В. Дорошенко // Сборник научных трудов Национальной медицинской академии последипломного образования им. — Выпуск 23. Книга 1. — 2014. С. 346 — 356.


0(800)60-33-68