Мінімально Інвазивний Метод Імплантації зубів MiMi Mini Invasive Methodic of Implantation
Сьогодні існує дуже багато методик дентальної імплантації. Словом дентальної імплантацією зараз здивувати нікого не можна.
На початках розвитку технології дентальну імплантаціїю робили в два етапи. Проводили дві або більше операції із встановлення імплантантів зубів. Ця методика встановлення дентальних імплантантів існує й до сьогоднішнього дня. Чому застосовувалася така методика? Тому що не було цифрової комп'ютерної діагностики порожнини рота і лікар не міг працювати "на ощуп". Для цих цілей проводиться розріз і повна видимість операційного поля. Також раніше вважалося, що дентальні імплантанти не можна навантажувати одразу після встановлення. І тому процедуру ділили на етапи, це був перший етап, перша операція.
Другий етап це друга операція – розкриття імплантанта, встановлення формувальника ясен, абатмента. В чому недоліки такого підходу? Перший недолік – це тривалість лікування. Пацієнт тривалий час не може повністю відновити жувальну функцію, тому ще не отримує одразу коронки – зуби. Проходить тривалий підготовчий період. Другий недолік – травматичність методики, в одному операційному полі проводиться кілька розрізів з різним інтервалом часу. Третій недолік – вартість лікування, оскільки проводиться декілька хірургічних втручань. Четвертий недолік – порушення живлення кістки під час розрізів і отримання великої кількості ускладнень у післяопераційному періоді. П'ятий недолік – під час розрізів є можливість потрапляння інфекції з порожнини рота в операційне поле.
Було помилково вважати, що кістка не повинна нести негайне функціональне навантаження одразу після встановлення імплантантів. Зараз абсолютно точно відомо, що кістка повинна нести функціональне навантаження. Це сприяє кращому приживленню імплантантів в післяопераційний період.
Сьогодні, з настанням ери цифрової медицини, немає необхідності робити діагностичні операції і робити зайві розрізи.
Що ж сталося з 1958 року з часу відкриття Бронемарка?
З'явилася ера цифрової діагностики. Зараз не потрібно робити діагностичні операції і робити розрізи, щоб побачити операційне поле. Можна отримати дуже точну діагностику цифровими методами, скласти цифровий план операції і дуже точно без розрізів встановити імплантанти. Також змінилося уявлення про функціональне навантаження кісткової тканини після встановлення дентальних імплантантів. Функціональне навантаження потрібне одразу після встановлення імплантантів. Завдяки функціональному навантаженню покращується живлення кістки та приживлення імплантантів набагато краще, ніж без нього.
Збираючи весь досвід з 1958 року була створена сучасна методика MiMi - мінімально інвазивний метод імплантації зубів. Коли пацієнти без розрізів отримують зуби за короткий проміжок часу з мінімальними ускладненнями та покращеною інтеграцією дентальних імплантантів.
«Мінімально інвазивна методика імплантації зубів з негайним навантаженням і швидкою реабілітацією»
До нашого Центру звернулася пацієнтка з частковою втратою зубів. Зі скаргами на утруднене пережовування їжі, неприємний запах із рота та незадовільний естетичний вигляд зубів. Ми зробили безкоштовне цифрове обстеження порожнини рота, безкоштовні цифрові комп'ютерні знімки.
Під час цих обстежень ми виявили, що більшість зубів в порожнині рота відсутні, є старі коронки, які розцементувалися. Під коронками ми побачили темні плями – це свідчить про те, що зуби під коронками вже практично розпадалися і зникли. Там же ми побачили ще два старих імплантанта, які реінтегрувалися.
На верхній щелепі було виявлено атрофію, відсутність альвеолярного відростка в області жувальних зубів. Пацієнтка прийшла до нас, оскільки не хотіла робити операції з нарощування кісткової тканини. Також вона не хотіла робити знімне протезування. Пацієнтка захотіла зробити швидку реабілітацію з найменшою кількістю оперативних втручань і з найменшими витратами. Ми запропонували їй за методикою MiMi мінімально інвазивну методику імплантації зубів з мінімально інвазивною хірургією з використанням лазера видалити зуби і невдалі імплантати. Провести за одну хірургічну операцію чистку дірок видалених зубів лазером. Прибрати всі інфіковані тканини лазером і видалити запалення. І одразу встановити по 8 односкладових імплантатів на верхній і на нижній щелепі. На верхній щелепі була особливість. Оскільки в області молярів верхньої щелепи висота кістки була незначна і було ускладнене встановлення дентальних імплантатів в цих ділянках, то були встановлені два птеригоїдальних імплантати малоінвазивним способом, а саме в ті зони, верхньої щелепи, де кістка має гарний стан і атрофія має найменші ознаки.
На прийомі зразу були зняті зліпки зубів для постійних і тимчасових коронок. Пацієнтка отримала тимчасові коронки наступного дня після хірургічного втручання, а постійні - через 4 місяці після повної інтеграції імплантатів з коронками із діоксиду цирконію. Операція тривала близько 40 хвилин. Вся операція і весь післяопераційний період пройшли у пацієнтки максимально комфортно. Після операції не було жодних ускладнень. Не було набряків, болів і синців, оскільки це була мінімально інвазивна методика без розрізів, без накладання швів. Пацієнтка залишилась дуже задоволеною.

ОПГ до операції

ОПГ після операції

ОПГ після постійного протезування

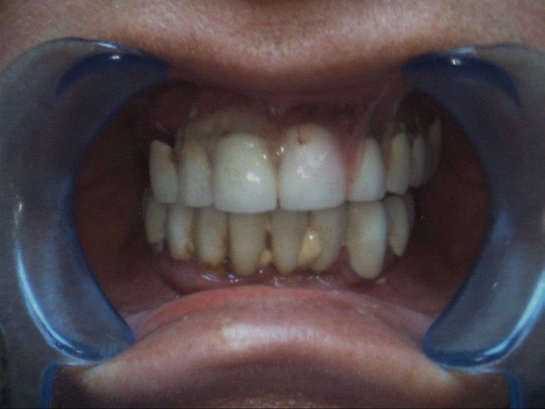
Фото до операції

Фото наступного дня після операції з тимчасовими коронками

Фото з постійним протезуванням
0(800)60-33-68