Минимально инвазивный метод имплантации зубов MiMi Mini Invasive Methodic of Implantation
Сегодня существует очень много методик дентальной имплантации. Словом дентальной имплантацией сейчас удивить никого нельзя.
На своей заре дентальная имплантация была в два этапа. Проводили две и более операций по установке имплантантов. Эта методика установки дентальных имплантантов существует по сегодняшний день. Почему применялась такая методика? Потому, что не было цифровой компьютерной диагностики полости рта и врач не мог работать с слепую. Для этих целей производится разрез и полная видимость операционного поля. Так же раньше считалось, что дентальные имплантанты нельзя нагружать сразу после установки. И по этому их делили. Это был первый этап. Первая операция.
Второй этап – вторая операция – это вскрывание имплантанта, установка формирователя десны, абатмента. В чем недостатки? Первый недостаток – это длительность лечения. Пациент длительное время не получает коронки –зубы. Проходит длительно подготовительные периоды. Второй недостаток – травматичность методики, в одном операционном поле проводится несколько разрезов с разным промежутком времени. Третий недостаток – дороговизне лечения, так как проводится несколько хирургических вмешательств. Четвертый недостаток – нарушение питания кости во время разрезов и получения большого количества осложнений в послеоперационном периоде. Пятый недостаток – во время разрезов попадание инфекции из полости рта в операционное поле.
Было заблуждение – считать, что кость не должна нести немедленную функциональную нагрузку сразу после установки имплантантов. Сейчас абсолютно точно известно, кость должна нести функциональную нагрузку. От этого приживление имплантантов лучше.
И с появлением эры цифровой медицины нет необходимости делать диагностику во время операции и делать ненужные разрезы.
Что же произошло с 1958 года со время открытия Бронемарка?
Появилась эра цифровой диагностики. Сейчас не нужно делать диагностических операций и делать разрезы, что бы увидеть операционное поле . можно получить очень точную диагностику цифровыми методами, составить цифровой план операции и очень точно без разрезов установить имплантанты. Так же изменилось мнение о функциональной нагрузки костной ткани после установки дентальных имплантантов. Функциональная нагрузка нужна сразу после установки имплантантов. Благодаря функциональной нагрузке улучшается питание кости и приживление имплантантов гораздо лучше чем без нее.
Собирая весь опыт с 1958 года создана современная методика MiMi минимально инвазивный метод имплантации зубов. Когда пациенты без разрезов получают зубы за короткий промежуток времени с минимальными осложнениями и улучшенной интеграцией дентальных имплантантов.
«Минимальная инвазивная методика имплантации зубов с немедленной нагрузкой и быстрой реабилитацией»
В наш Центр обратилась пациентка с частичным отсутствием зубов. С жалобами на затруднённое пережевывание пищи, неприятный запах изо-рта и неудовлетворительный эстетический вид зубов. Мы сделали бесплатное цифровое исследование полости рта, бесплатные цифровые компьютерные снимки.
При этих исследованиях мы выяснили, что большинство зубов в полости рта отсутствуют, есть старые коронки, которые расцементировались. Под коронками увидели тёмные пятна – это говорит о том, что зубы под коронками уже практически полностью рассыпались и исчезли. Там же увидели ещё два старых имплантанта, которые реинтегрировались.
На верхней челюсти там же было видно атрофию, отсутствие альвеолярного отростка в области жевательных зубов. Пациентка пришла к нам, потому что не хотела делать операции по наращиванию костной ткани. Также она не хотела делать съемное протезирование. Пациентка захотела сделать быструю реабилитацию с наименьшим количеством оперативных вмешательств и с наименьшими затратами. Мы предложили ей по методике MiMi минимально инвазивной методике имплантации зубов с минимальной инвазивной хирургией с применением лазера удалить зубы и несостоявшиеся импланты. Провести за одно хирургическое вмешательство чистку лунок удалённых зубов лазером. Убрать все инфицированные ткани лазером и убрать воспаления. И сразу установить по 8 односоставных имплантантов на верхней и на нижней челюсти. На верхней челюсти была особенность. Поскольку в области моляров верхней челюсти высота кости была незначительная и была затруднённая установка дентальных имплантантов в этих участках, то были установлены два птеригоидальных имплантанта малоинвазивным способом, а именно в те зоны, верхней челюсти, где кость имеет хорощее питание и атрофия происходит наименьшим способом.
Сразу в это приём были сняты оттиски на постоянные ы временные коронки. Пациентка временные коронки получила через день после хирургического вмешательства, постоянные - через 4 месяца после полной интеграции имплантантов из диоксид циркония. Операция длилась около 40 минут. Вся операция и весь послеоперационный период проходил у пациентки максимально комфортно. Не было никаких осложнений после операции. Не было отёков, болей и синяков, потому что это была минимально инвазивная методика без разрезов, без наложения швов. Пациентка осталась очень довольна.

ОПГ до операции

ОПГ после операции

ОПГ после постоянного протезирования

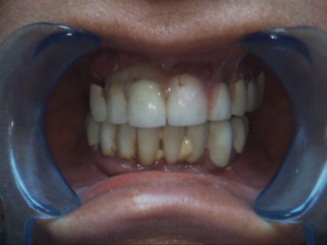
фото до операции

Фото через день после операции с временными коронками

Фото с постоянным протезированием


0(800)60-33-68