1st page
Treatment or removal
Dental treatment or removal — this question torments hundreds of people, regardless of age and occupation. Naturally, if there is even the slightest chance to save a damaged tooth, it is better to direct all forces in order to achieve the long-awaited healing. However, it is not always possible to cope with extensive tooth decay, so the only way out is to remove them. In addition, the lack of drug intervention can cause diseases not only of teeth, but of the whole organism.
In order to avoid unpleasant consequences, after a long refusal of dental services and do not suffer from pain at night, it is worth trusting specialists. Doctors of the European Dental Center know in what situation it is still possible to save a tooth, and in when it is better to remove it and install a snow-white implant. Thanks to diagnostics on the latest equipment, in a few minutes you can find out what exactly is the cause of discomfort in the oral cavity. In addition, now you do not have to be afraid of the process of removing a diseased and damaged tooth. Thanks to the use of modern techniques and methods, tooth extraction is not only quick, but also painless.
Benefits of using the latest laser technology
Today, the use of laser technology is one of the most popular areas in dentistry. Thanks to the use of a special laser, even during the most complex surgical procedures, the patient will not only not feel pain effects, but also not pleasant noises.
The main advantages of laser treatment are:
- minimization of accidental injuries in the oral cavity during various dental procedures;
- lack of pain at the time of preparation of the tooth for filling;
- absolute sterility;
- quick healing of wounds after treatment or tooth extraction.
| ![]() | ![]() | ![]() ![]() | ![]() | ![]() ![]() |
New aesthetics of photopolymers
Dentures made of photopolymer materials are a guarantee of a snow-white smile. Now, tooth extraction is not a disaster, since photopolymers make it possible to make the result of prosthetics natural and completely invisible.
In order for the prosthesis to be successful, it is necessary to take into account the individual peculiarity of each case. The manufacture of personal photopolymer components requires no less attention. Photopolymers combined with laser treatment can, in truth, achieve ideal results. An additional advantage of this combination is not only saving time for the patient, but also the absence of complications after extraction of the dentition.
Many years of experience and the use of the latest equipment allow doctors of the «ESC» to quickly and accurately remove or treat teeth without pain.
Restoration of the dentition with zirconium oxide
Today, one of the most popular materials for high-quality prosthetics is zirconium oxide. Such a material is a stabilized analog of yttrium oxide, so that prostheses made using this raw material are highly reliable and durable. In addition, zirconia prostheses look organic and natural. Each artificial tooth not only has a natural white color, but also perfectly «plays» in the light, due to which the maximum similarity of prostheses to natural teeth is achieved.
In dentistry, zirconium oxide is recommended for the manufacture of:
- strong crowns;
- bridges of three links;
- four-link bridges;
- denture bridges for chewing teeth.




Why should you contact us?
Today, the services of special laboratories that manufacture nylon prostheses are very popular. The secret to the success of any dental clinic is to learn the right technology for injection thermoplastics. The final result of the entire restoration of teeth depends on the quality of manufacture of dentures.
That is why the doctors of the ESC clinic are as attentive to the manufacturing process of the “future smile” as possible. Due to the accurate consideration of the individual characteristics of the oral cavity of each patient, the professionals of the ESC managed to achieve many excellent results.
The main task of dentists of the «ESC» clinic is the most quick and painless treatment or tooth extraction to achieve an aesthetically attractive result.
In order for the treatment or preparation for the tooth extraction process to be as effective as possible, doctors from the department of therapeutic dentistry successfully practice remote cooperation with the best doctors of the European Union. The exchange of valuable experience in prosthetics and tooth extraction helps to find solutions to even the most complex dental problems.
How to make the right choice?
Tooth extraction is an exciting process. However, before you tune in to an important step, you should go through a competent diagnosis on professional equipment. It is possible that the tooth can still be saved through the use of emergency medical therapy. The question is, what is better to remove a tooth or to cure it torments everyone who has encountered a long inflammatory process in the oral cavity. Many have formed associations since childhood that tooth extraction is necessarily painful and scary. Thanks to the use of modern techniques and new equipment, such a process is absolutely painless.
Tooth extraction is recommended if it is already impossible to save the tooth. Overuse of sweets and improper lifestyle can lead to the destruction of tooth enamel or to the development of any other disease that may be accompanied by prolonged inflammation. If you do not take measures during time, you can not only feel the round-the-clock pain, but also acquire additional diseases. Modern technologies allow you to quickly and painlessly not only remove the tooth, but also install a new and white one that will not differ in any way from its “neighbor”. Thus, if it is impossible to save a tooth, then to achieve a beautiful smile is more than real. Tooth extraction is also an excellent solution in aesthetic dentistry.
Often there are times when, due to improper tooth growth, the bite changes and the smile becomes not attractive. In such a situation, the removal of the «extra» tooth becomes an aesthetic necessity. Thanks to the professional work of dentists, such a defect can be easily eliminated, and with the use of laser healing, there will not even be a scar. With the help of a laser technique, it is possible to conduct a quick treatment of a healthy tooth.
Thanks to high-quality equipment, dental treatment without pain has become an affordable reality. After determining the cause of the problem, very soon the tooth can again become healthy and snow-white. In addition, natural teeth whitening is especially popular. Thanks to the use of special methods of dental or home whitening, everyone has a chance to have white and healthy teeth. Whitening is the final stage after the treatment of the dentition, therefore, such procedures should be entrusted only to professionals.
It is easy to cure or remove a tooth and achieve an ideal end result — it’s easy with the European Dental Center. Clinic «ESC» provides high-quality and quick dental treatment in Kiev and free diagnosis of the problem. Prices for dental treatment will pleasantly surprise you, and the high service level and the latest equipment will provide more than excellent results.
If you want to treat your teeth or the dentist after the examination, already recommends removing them, then contact our dental clinic in Kiev. At our place, these procedures are carried out with due professional attention and are painless for the patient. To make an appointment — call the numbers listed on the site. In the «Contacts» section you can see on the map where our dentistry is located (Kiev) and how to get there. We hope that our prices and the level of services provided will pleasantly surprise you.
Removing a wisdom tooth, dentistry in Kiev
The question of whether it is worth removing wisdom teeth, or is it better to leave them, causes a lot of controversy and controversy in most patients and the dentists themselves, in particular. It is practically impossible to give an unambiguous answer to it, since each situation is strictly individual, however, to advise on the advisability of tooth extraction in certain cases is one of the tasks that often face modern dentists and dental surgeons.
A wisdom tooth is the most “late” element of a person’s dentition. It is located at the 8th position in the dentition and is the third molar corner tooth (molar), on average appearing in a person aged 16-25 years. Sometimes even the very appearance of a wisdom tooth can already cause discomfort, discomfort and even pain, especially given the fact that often the teeth erupt quite difficult and can come out in unnatural positions. Of course, in such cases, the most optimal solution is to remove them, however, if such a tooth does not interfere with the patient and does not cause him constant inconvenience, you can postpone or cancel it altogether.
Should I remove a wisdom tooth?
As you already know, the appearance of «eights», or wisdom teeth, is often accompanied by a mass of problems that cause a person painful and uncomfortable sensations. In most cases, after analyzing the anatomical features of the jaw structure in many people, and especially adolescents, dentists can advise you to remove them immediately after they appear on the external part of the gum, that is, when the powerful root system of the tooth has not yet formed. A person grows, as a rule, 4 wisdom teeth, and it is absolutely not necessary that each of them will cause trouble. In addition, often wisdom teeth can, by their appearance, displace other teeth, including frontal groups, and, of course, in such cases they will also be best removed.
The process of eliminating a wisdom tooth is rather laborious and often it can be noticeably more complicated than the process of removing other teeth. This is primarily due to the peculiarities of their structure, and also often their complicating factor is their incorrect position in the jawbone. Often, eights can have curved roots, and also (due to insufficient space for their normal eruption), they can be located in a horizontal position or grow with a strong inclination to the adjacent tooth. In general, wisdom teeth are the easiest to remove at the initial stages of their eruption, and if you need to remove a wisdom tooth in Kiev, ESC dentistry is ready to provide such a service, having performed it as painlessly and quickly as possible. The European Dental Center is able to provide qualified assistance to dental surgeons who easily and responsibly eliminate the eighth tooth, using only gentle technologies and anesthetizing the process using modern anesthesia methods. In most cases, the ESC clinic uses computer anesthesia, which speeds up the process of anesthesia and avoids very painful injections.
When can a wisdom tooth be left?
Of course, there are also frequent cases when the extraction of wisdom teeth, in fact, does not have any underlying motive, and if the patient does not feel discomfort during their growth, then it is absolutely not necessary to remove the tooth. There is a small list of situations where the removal of wisdom teeth or “eights” is not required or may be postponed to a later date:
· The presence of a sufficient amount of space for their eruption and proper development;
· There is a possibility of treating them, and they perform a chewing function, as other angular teeth are weakened or damaged;
· If necessary, prosthetics of the entire dentition.
Our clinic is ready to provide the service of tooth extraction, as well as restoration, implantation and prosthetics at the highest level in Kiev, thanks to the use of unique techniques and modern equipment.
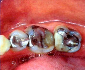
Chemical-mechanical treatment of caries
Tooth decay is currently one of the most common problems that plague most modern people. This disease is global in nature, and according to some statistics it is the most common infectious disease in the world. Caries is not only external damage to the dental tissues, its presence suggests that the person does not adequately care for the oral cavity, and also has weak immunity, therefore, is susceptible to the destructive influence of all kinds of infections.
Caries is a pathological disorder that is inherent in every layer of the population — from small children who still have baby teeth, to adults and the elderly. In order to overcome tooth decay and cure already affected teeth, it is necessary to urgently seek help from a qualified doctor who will select the most optimal treatment option and help achieve a positive effect.
Treatment of caries in modern conditions
Currently, there are quite a huge number of methods designed to treat tooth decay and restore teeth from the negative effects of the disease. One of the most commonly used is currently considered a chemical-mechanical method of treating caries. This procedure is used to quickly and efficiently remove pathologically damaged dentin using special preparations, while damaged enamel sections are removed by the traditional method, that is, by mechanical action.
At present, for the chemical-mechanical treatment of carious disease, a special gel is used, in addition to the classical drill or hand tools, consisting of two components, the reaction of which helps to dissolve the tissues changed by the infection and safely remove them from the surface of the teeth. The modern dental market presents a fairly wide range of gel preparations intended for the chemical-mechanical treatment of carious areas of tooth enamel.
The principle of the gel is a chemical reaction of the active substances, which destroys organic tissues, in particular denatured collagen, and also binds carious damaged fibers at the molecular level, which makes it easy to remove them from the tissues covering the tooth. Due to the fact that the gel contains amino acids, its aggressive effect on healthy areas of the tooth is prevented, helping to preserve it and restore natural functions after sealing and restoration of dentin and enamel. During the reaction of the gel with dentin, a reaction also occurs during which the damaged tissue is painted in a different color, which ensures high accuracy of the removal of destroyed tooth particles.
Infiltration — the process of treating caries with a gel with a powerful active substance, is considered one of the most progressive and gentle, and helps to quickly deal with the problem of caries. The action of the gel literally “dissolves” the damaged tissue, and after receiving the proper effect, the places of use of the gel are dried using a powerful jet of air with ethanol. The gel is applied to the tooth for approximately 20 minutes, and after the expiration of time loses its caries-dissolving effect. When the action of the gel began, the dentist using special hand tools excavates the affected tissue and dries the treated area. Further, the cavity formed in the tooth body is restored with a photopolymer and polished to give the tooth surface a natural shape.
The European Dental Center uses only advanced methods of treatment and restoration of teeth, providing the highest possible result and painless treatment.
Preventative expansion method
Caries is undoubtedly considered one of the most common problems associated with the health and appearance of teeth. This is an infectious pathological process that affects hard dental tissues and destroys them, leading in advanced cases to the destruction of dentin tissues, the formation of a cavity where food debris accumulates, and inflammatory complications in the pulp region, which entail damage to the nerves and root of the tooth.
Currently, caries is found in the practical majority of modern people, starting almost from an early childhood. Caries has a very powerful destructive power and can have a negative effect on the structure and appearance of the tooth, as well as the condition of its tissues. Undoubtedly, the lack of timely treatment of tooth decayed areas of the tooth, the infection will continue to spread through the tissues, subsequently destroying the tooth so much that it will simply have to be removed, since it will lose all its functional strength.
Currently, there are many effective caries treatment methods that are actively practiced by modern dental institutions and specialists. Many developed advanced methods to eliminate tooth decay are quite gentle and the removal of affected tissue is carried out in minimally invasive ways, for example, ozone or a laser beam. However, nevertheless, the most common method of preparation is currently being applied.
The method of preventive expansion as a popular way to combat tooth decay
Of course, the first procedure that the dentist performs to eliminate tooth decay is to remove the areas damaged by the disease. It can be carried out using a variety of methods and techniques that allow you to process hard tooth tissue to eliminate the areas affected by caries. The choice of the optimal solution to eliminate the destroyed, dead tooth sections is carried out taking into account the specifics of each particular case.
Preparation is a classic process of removing carious deposits on teeth, which is done mechanically. It is to him that many patients of dentists, as well as modern specialists themselves, are wary. However, still this method allows you to most carefully remove deposits and clean the affected areas and cavities from further infection.
The method of prophylactic expansion is one of the most common traditional methods of treating caries, which has been actively used in the field of therapeutic dentistry for more than a hundred years. The prophylactic expansion technique is also known under the name Black's Method. The procedure involves the implementation of a wide carving of tooth enamel and dentin areas infected with caries, together with the formation of an extensive cavity, which prevents the further spread of the disease. After the dental canals and cavities formed due to the development of caries are thoroughly cleaned and processed, the created cavity is sealed with a durable substance, which after the end of the procedure will be as close as possible to the sensations of tooth enamel.
The extension method has certain advantages, despite its long history, and, first of all, this is the durability of the result of the procedure. In addition, it is worth noting that carious relapse is quite rare after undergoing therapy of this type, which leaves him with the status of one of the most effective methods of preparing tooth tissues.
The European Dental Center uses only progressive, gentle methods of caries control, providing high results and painless treatment.
ART — preparation technique
For many people, going to the dental office is associated exclusively with discomfort, pain during the procedures, and fear of some tools. Surely each of us remembers how in childhood he was afraid of one kind and sound of a drill, moreover, today some adults are very afraid of this device. Many patients in dental clinics, especially children, pregnant women, the elderly and other categories of patients, experience unpleasant and painful sensations during the dental treatment procedure, especially if it involves the removal of caries or tartar. The process of removing extraneous deposits on the teeth is called dissection, and it is to him that the overwhelming majority of visitors to dentist's offices are wary. However, today there is a more gentle, and most importantly less painful way to remove caries from the external tissues of the tooth — the ART-preparation technique.
What are ART preparation methods?
The ART method (atraumatik restorative treatment, which means atraumatic restoration treatment) was developed in the Netherlands in the 80s of the last century as an additional procedure for machine preparation, but today this service has become an alternative option for machine tooth processing. Initially, it was intended for the treatment of teeth for young children, pregnant women, people with physical disabilities, who cannot sit and hold their body on their own during the process, as well as patients with mental pathologies and general somatic disorders (after suffering a heart attack, etc.). The specificity of the procedure lies in the fact that the affected areas of the tooth are processed using manual medical instruments without the use of electrical equipment. The ART preparation technique is virtually painless, since the extraction of carious sections of tooth tissue is very gentle, after which the damaged areas are restored with a photopolymer composite.
The ART method in the treatment of caries is often used in the treatment of teeth in children, especially if it is milk teeth. It will also be useful in cases where caries has damaged very large areas of the tooth and machine treatment will certainly bring acute pain, as irritation and damage to the bare nerves and blood vessels is possible. Hard-to-reach places in the root canal of the tooth are also manually cleaned to provide a greater effect. This technology of removing carious damaged tooth tissues cannot be applied in cases of complicated caries, and also if the pulp of the tooth is opened.
Advantages of manual tooth preparation
Of course, the use of manual preparation techniques has its advantages, in addition to painlessness. Among the advantages of the procedure, it is worth highlighting:
· The ability to maximize maintain healthy tooth tissue without destroying them during preparation;
· Simplified disinfection process, because hand-held devices and tools are much easier and more thoroughly sterilized and processed;
· There is no need for anesthesia and anesthesia;
· High efficiency of removal of small damaged particles;
· Wide availability due to the low cost of the procedure.
The European Dental Center is actively applying the technique of manual preparation of tooth tissues and cleaning them from carious damage without the use of standard drills and other equipment, if such a need arises. The specialists of our clinic have advanced knowledge and own the most innovative methods of dental treatment, which makes the ESC the undisputed leader in the field of dentistry in Ukraine.


0(800)60-33-68






