Минимально инвазивный метод имплантации зубов MiMi при помощи пьезохирургии
Минимально инвазивный метод имплантации зубов MiMi при помощи пьезохирургии
Главное преимущество Минимально инвазивного матода имплантации зубов MiMi является то, что за короткий промежуток времени человек получает быструю качественную реабилитацию с минимальным количеством осложнений в послеоперационном периоде. С минимальными разрезами, максимально сохраняя свою собственную кость. Очень хороший эфект для таких результатов дает пьезохирургия.
Благодаря пьезохирургии в нашем Центре мы получаем минимально инвазивную хирургию без осложнений в послеоперационном периоде, без инфекции и с максимальным сохранением своей собственной костной ткани в том состоянии, которое было до хирургического вмешательства. Такие показатели сохраняются крайне редко при традиционных методиках хирургического вмешательства.
Так же пьезохирургия позволяет полностью удалить инфекцию в операционном поле и так же все инфецированые ткани. Это называется пьезокюретаж лунок удаленых зубов и операционного поля. Так же пьезокюретаж дает полную стерильность операционного поля и убирает все воспаление если оно есть. Все это позволяет с более лучшими результатами проводить атраматическую методику MiMi минимально инвазивную методику Имплантации зубов с немедленной нагрузкой imediate Loading.
«Немедленная имплантация Малоинвазивным способом MiMi при пародонтите нижней челюсти»
Мы расскажем о малоинвазивной методике имплантации зубов на нижней челюсти с быстрой реабилитацией и восстановлением жевательной и эстетической функции.
В нашу клинику пришел пациент, который жаловался на затруднённое пережевывание пищи, неприятный запах изо-рта, подвижность зубов на верхней и нижней челюсти.
У пациента подвижность зубов появилась около пяти лет назад. Запах изо-рта беспокоит постоянно. Пожеланием пациента было: как можно быстрее решить эту проблему в кратчайшие сроки. После цифровой компьютерной диагностики полости рта, пациенту предложили Минимальную инвазивную методику удаления зубов с немедленной установкой односоставных имплантантов.
Чем же эта методика лучше? Минимально инвазивная методика имплантации зубов MiMi лучше тем, что при помощи аппаратного способа при удалении зубов кость повреждается наименьшим способом. Происходит то, что невозможно сделать обычно просто инструментом.
И еще огромное преимущество минимально инвазивной методики MiMi с применением лазера то, что можно добиться идеально-стерильных лунок удаленных зубов. А это значит, что инфекция не будет препятствовать приживлению и качественной интеграции.
Так же ещё преимуществом является то, что мы не получим никаких осложнений послеоперационного вмешательства. А значит то, что приживление имплантов будет в разы лучше. Ну и для пациента операция будет гораздо комфортней.
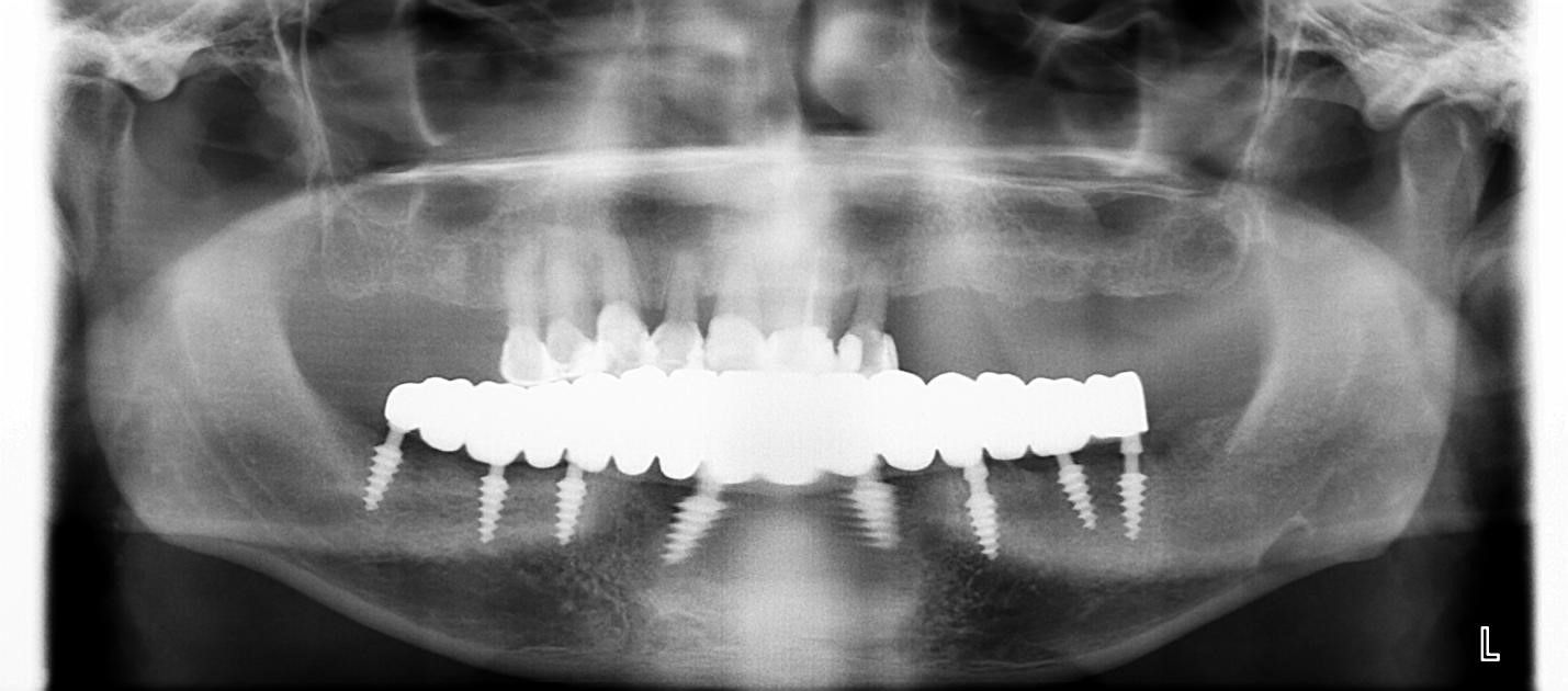
Сразу после операции были сняты оттиски на временные коронки. И на третий день пациент получил временные коронки на нижней челюсти и постоянные коронки из диоксид циркония через 4 месяца. Пациент был очень доволен от такой быстрой реабилитации дентальной имплантации за такой короткий промежуток времени. Операция прошла максимально комфортно как и послеоперационный период. Мы видим 100 процентную интеграцию дентальных имплантов и блестящие отсроченные результаты.

ОПГ до операции

ОПГ с постоянным протезированием

Фото до операции

Фото с временными коронками через день после операции

Фото с постоянным протезированием


0(800)60-33-68